Ritrovato dinosauro a becco d’anatra con la ‘cresta da gallo’
Lo straordinario fossile è stato rinvenuto da Federico Fanti del Dipartimento di Scienze Biologiche, Geologiche e Ambientali ed è stato descritto in dettaglio da un team internazionale
1482 Articoli
Lo straordinario fossile è stato rinvenuto da Federico Fanti del Dipartimento di Scienze Biologiche, Geologiche e Ambientali ed è stato descritto in dettaglio da un team internazionale
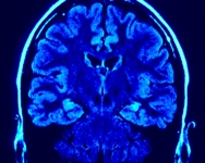
Lo afferma uno studio condotto da alcuni ricercatori Unibo e pubblicato sulla rivista di neuroscienze "Brain"
Uno studio Unibo fa luce sul comportamento degli astrociti, un tipo di cellula molto diffuso nel cervello che deve il proprio nome alla forma somigliante a stelle
La missione archeologica congiunta irano-italiana, che coinvolge l’Università di Bologna e l’Università di Shiraz, sta portando alla luce i resti di un edificio assolutamente unico nella regione: una "torre" a pianta rettangolare dall’impronta fortemente babilonese
Il progetto premiato porterà alla ricostruzione virtuale di Kainua, l’antica città etrusca di Marzabotto, basandosi su un rigoroso approccio filologico di studio dei dati archeologici degli edifici sacri e abitativi
Pane con ferro e farro per contrastare le carenze nutrizionali. Al via BAKE4FUN, nuovo progetto europeo targato Università di Bologna
Ricercatori Unibo identificano come i globuli bianchi riconoscono le tossine responsabili della Sindrome emolitico uremica (SEU), una grave malattia che colpisce soprattutto i bambini in tenera età
Il progetto europeo PATHWAY-27, coordinato dall'Università di Bologna, studia gli effetti positivi di alcuni componenti bioattivi nei prodotti da forno, nei prodotti lattiero-caseari e in quelli a base di uova. L'obiettivo è formulare nuovi alimenti che abbiamo un impatto positivo scientificamente dimostrato sulla salute dell’uomo
A Bologna si sono dati appuntamento nell’Aula Magna dell’Università gli esperti della comunità scientifica internazionale e le imprese leader per fare il punto su chimica verde e bioeconomia
A essere premiato con un contributo di oltre 450 mila euro è un progetto triennale che analizzerà l'effetto di diverse mutazioni del gene OPA1, associate all’atrofia ottica dominante, e identificherà le funzioni delle varianti proteiche codificate dal gene
Il riconoscimento consegnato durante il meeting annuale della European Federetion of Food Science and Technology. La vincitrice, all'ultimo anno di dottorato, si occupa del miglioramento nutrizionale e salutistico dei prodotti dell’industria dolciaria
Parte a Bologna il progetto europeo Biorice, che ha come obiettivo ricavare ingredienti benefici per il miglioramento della qualità della vita e della salute dell’uomo, da sottoprodotti proteici derivati dal processo di produzione dell’amido di riso
Assegnate le 108 particelle da 25 metri quadrati messe a disposizione nell'ambito del progetto "100x100 Orti Urbani", promosso da Caab, Università di Bologna e Ausl. Il Centro studi e ricerche su Agricoltura urbana e Biodiversità del Dipartimento di Scienze agrarie curerà l'assistenza tecnica sul campo
Una equipe di ricercatori, di cui fanno parte anche i "bolognesi" del gruppo Drosophila, hanno studiato gli effetti dei neonicotinoidi sugli insetti pronubi
L'Alma Mater e il Policlinico Sant'Orsola-Malpighi nel team italiano di ricercatori che ha realizzato lo studio. L’algoritmo è stato applicato all’analisi di malattie genetiche complesse e di tumori umani e ha permesso di identificare con estrema precisione alterazioni cromosomiche potenzialmente coinvolte nell’insorgenza della condizione patologica
Interamente realizzato mediante processi di stampa (a getto di inchiostro o a timbro) su substrati flessibili ed adattabili, il sensore può essere usato in ambito medico, per misurare le radiazioni, ma anche come "smart tag" per identificare e monitorare merci e bagagli