Unibo Magazine

1482 Articoli

Cervello e pericoli: ecco come ci difendiamo senza saperlo

Cervello e pericoli: ecco come ci difendiamo senza saperlo

Anche senza rendercene conto, ci proteggiamo dai pericoli fuori dal nostro campo visivo. Lo rivela uno studio del Dipartimento di Psicologia dell’Università di Bologna, che potrebbe fornire una spiegazione anche ad alcuni tipi di sbalzi d’umore

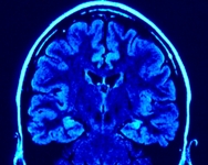
Nel nostro intestino una possibile cura per l'Alzheimer

Nel nostro intestino una possibile cura per l'Alzheimer

Una tossina prodotta da un comune batterio presente nell'intestino umano può far regredire sino alla scomparsa i sintomi neuroinfiammatori dell’Alzheimer. La scoperta arriva da un gruppo di ricercatori dell'Istituto Superiore di Sanità e dell'Università di Bologna

Malattie infiammatorie croniche intestinali (MICI): Bologna capitale mondiale della ricerca

In Emilia-Romagna le Malattie Infiammatorie Croniche Intestinali colpiscono oltre 12.000 persone. Al Policlinico Sant’Orsola-Malpighi, uno dei maggiori centri di eccellenza in Italia, afferiscono oltre 7mila pazienti, di questi il 70 per cento proviene da fuori regione. L’Unità Operativa di Chirurgia Generale è il terzo centro europeo per numero e varietà di casi clinici

Fa tappa a Bologna il Working Capital Barcamper tour

Il camper che promuove in giro per l'Italia il programma di sostegno al talento e alle idee imprenditoriali innovative arriva all'Alma Mater. In palio 30 grant d'impresa del valore di 25000 euro e tre spazi di accelerazione in tre città strategiche per la digital innovation in Italia: Milano, Roma, Catania

Come trasportare gli alimenti senza alterarne qualità e sapore

Come trasportare gli alimenti senza alterarne qualità e sapore

Il Food Supply Chain Center dell'Alma Mater ha monitorato finora un migliaio di trasporti intercontinentali con origini e destinazioni in tutte le parti del mondo. Alcuni percorsi particolarmente critici sono stati riprodotti in laboratorio, sottoponendo campioni differenti di prodotto al regime di esposizione monitorato

Torna RavennaRicerca, con Valerio Massimo Manfredi

Torna RavennaRicerca, con Valerio Massimo Manfredi

Lo scrittore testimonial d’eccezione della manifestazione dedicata alla ricerca scientifica universitaria. Cuore della manifestazione sarà la mostra dei poster relativi ad alcuni dei più significativi progetti di ricerca realizzati nelle aule e nei laboratori universitari ravennati

C'è anche Unibo al TEDMEDLiveBologna

Tra i protagonisti dell'evento che, in pieno stile TED, punta a diffondere idee di valore, dedicate in questo caso al mondo medico e sanitario, c'è anche il ricercatore dell'Alma Mater Matteo Cerri

Al via Start Cup - Spinner 2013

C'è tempo fino al 9 maggio per partecipare alla business plan competition emiliano-romagnola che punta a favorire la nascita di nuove imprese ad alto contenuto innovativo

La Lamborghini premia una tesi di laurea Unibo

La Lamborghini premia una tesi di laurea Unibo

L'azienda di Sant’Agata Bolognese che quest'anno festeggia i cinquant'anni dalla fondazione è stata oggetto di uno studio sui riflessi che il brand del Toro ha avuto sulla società e il rapporto con la stampa nel corso dei decenni